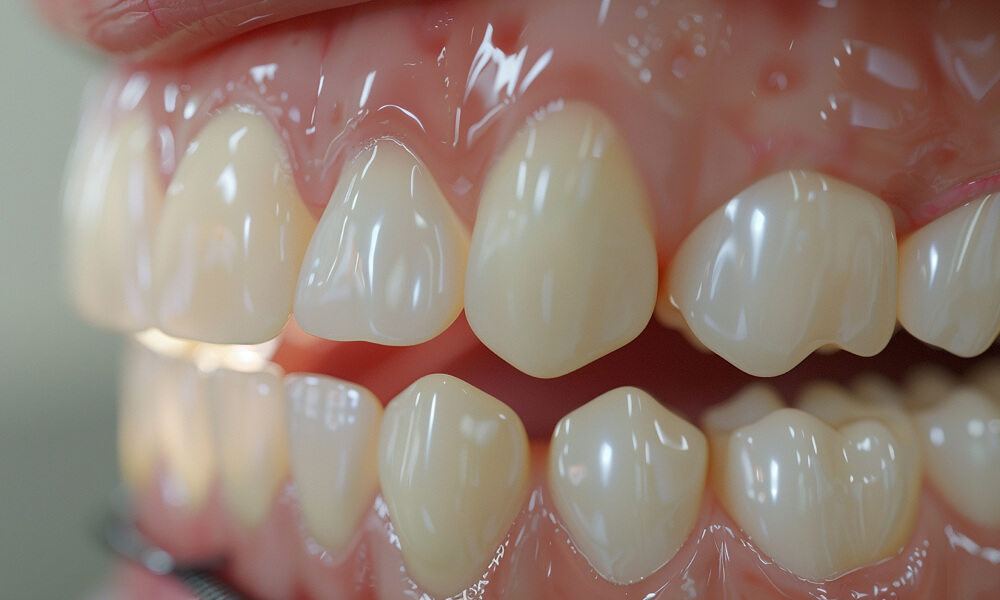
Porselen dolgular, genel olarak dişlerde bulunan eksikliklerin tamamlanmasına yönelik uygulanan işlemlerdir. Diş eksikliğinin fazlalık gösterdiği durumlarda porselen dolgulardan faydalanılır. İşlemin başarılı bir sonuçla buluşması için öncelikli amaçlanan hedef dişin doğallığının bozulmasının önüne geçmek ve doğal olan görünümün korunmasını sağlamaktır. Dişlere uygulanan porselen dolgular sıklık ile tercih edilir.
Porselen Dolgu Yapımı
Öncelikli olarak bu yöntem ağız içerisinde bulunan dişlerde kaybı faza olan hastalarda rahatça tercih edilen ve sonucunda başarı yakalanılan bir onarım ve yenileme yöntemidir. Önce uzman olan bir hekim tarafından diş muayenesi gerçekleştirilir. İşleme olan uygunluğuna bakılır. Kontrolün ardından uygunluğu görülmüş olunan hastaların dişinde bir boşluk oluşturulur. Uygulanacak olan porselen dolgunun yerleştirilebileceği konuma eriştirilir. Sonrasında ise boşlukların ölçüsüne bakılır. Alınan boşluk ölçüleri laboratuara yönlendirilir. Ölçülerle uyumlu olacak şekilde porselen dolgular hazırlanır. Bu bahsetmiş olduğumuz aşamalar ilk seansta gerçekleştirilmektedir. İkinci seansa geçildiğinde ise porselen dolgular hastalara dikkatli ve titiz bir şekilde uygulanır. Hastaya uygulanmış olunan dolgular son derece dayanıklı ve etki gücü yüksek olan porselen dolgulardır. Yemek yeme, içecek içme gibi günlük hayatta sürekliliği olan eylemlere işlemin ardından rahatlık ile devam edilebiliyor.
Porselen dolgular ilk seansta hazırlanır ve hazır hale getirilerek diğer seans için uygulamaya zemin hazırlanır. Porselen dolgular sağlıklı ağız bakımı için önerilen ve önerilmesi sonucunda da ise olumlu geri dönüşleri olan uygulamalardır.
Bu uygulamanın asıl amacı dişlerin doğal olan görünümünü kaybetmesinin önüne geçmek ve sağlıklı görünen dişler elde etmektir. Yiyecek yerken zorlanan kişiler mutlaka bir diş hekimine muayene için gitmelidir. Bu gibi durumlarda porselen dolguların hekimler tarafından tercih edildiği görülüyor. Hem rahatlık açsından hem de görünüm açısından tercih edilen porselen dolgu uygulaması günlük hayatta da kolaylık sağlıyor. Dişte rahatsızlık hissi yaratmıyor. Hastalara uyumsuzluk hissettirmeden günlük hayatta rahatlık sağlıyor. Uygulamanın ardından hastalar ağız ve diş bakımını doğru ve düzenli bir şekilde yaptığı taktirde porselen dolgularını uzun süreli bir şekilde sorun yaşamadan kullanabilir. Hasta düzenli periyotlarla da kontrollere gidebilir.
